Для выявления инфекции мочевыводящих путей и установления почечной недостаточности проводятся специальные исследования. Рассмотрим основные диагностические методики.

1. Общий анализ мочи. Исследование мочи не только указывает на состояние почек и их функцию, но и позволяет судить о наличии поражения ряда других органов и систем. Поэтому оно является важной составной частью общего обследования. Мочу собирают в чистую сухую посуду. Для анализа берут утреннюю порцию мочи (среднюю струю), после сна, в количестве не менее 100-200 мл, предварительно проведя туалет наружных половых органов. Иногда мочу берут с помощью катетера. Мочу для анализа сдают в течение 1-5 ч после её выделения, поскольку длительное стояние мочи ведет к изменению ее физических свойств, размножению бактерий и разрушению элементов осадка мочи. В общий анализ входит! определение цвета, прозрачности, удельного веса мочи, ее реакции и наличия патологических элементов.
2. Бактериологическое исследование мочи (посев мочи). Мочу для бактериологического исследования берут с помощью стерильного катетера, который вводят после тщательного туалета наружных половых органов и спринцевания переднего отрезка уретры. Даже при соблюдении этих предосторожностей первую порцию мочи выливают, а в стерильную посуду собирают последующую порцию мочи. В том случае, когда по какой-либо причине катетер ввести нельзя, мочу собирают при свободном мочеиспускании. При этом также используют только вторую (среднюю) порцию мочи, которая прошла через мочеиспускательный канал, уже обмытый первой порцией. Исследование мочи проводится сразу после ее выделения, иначе попавшие в нее, несмотря на все предосторожности, случайные бактерии быстро размножаются и затрудняют определение возбудителей заболевания.
3. Исследование мочи по Нечипоренко. Сбор мочи для данного исследования аналогичен общему анализу мочи. Пробу по Нечипоренко проводят для выявления скрытой почечной патологии (например, латентного пиелонефрита). При анализе мочи оценивают соотношение количества лейкоцитов и эритроцитов.
4. Проба Адиса—Каковского. Сбор мочи для данного исследования аналогичен сбору мочи для общего анализа. Сдается моча, собранная за 10 часов (с 21.00 до 7.00 ч). В пробе оценивается соотношение элементов осадка мочи (лейкоцитов, эритроцитов, цилиндров) с целью установления воспаления в почке.
5. Исследование мочи по Зимницкому. Эта проба является ключевой в диагностике пиелонефрита. Применяют ее для определения концентрационной и разводящей способности почек. Проба проводится следующим образом. В 6 часов утра опорожняется мочевой пузырь. Эта порция мочи сливается. Далее на протяжении суток через каждые 3 часа в отдельную, пронумерованную посуду собирается порция мочи. Обычно пробу начинают в 9 часов утра. Таким образом, за сутки собирают 8 трехчасовых порций мочи: с 6.00 до 9.00, с 9.00 до 12.00, с 12.00 до 15.00, с 15.00 до 18.00, с 18.00 до 21.00, с 21.00 до 24.00, с 24.00 до 03.00, с 03.00 до 06.00 часов.
6. Проба Реберга проводится для определения степени почечной недостаточности. Если вышеописанные анализы мочи возможно выполнить в условиях поликлиники, то пробу Реберга проводят в стационаре. Исследование начинают утром натощак. В 7.00 ч дается водная нагрузка — 2 стакана воды. Сразу после этого необходимо помочиться в унитаз. Далее моча собирается в течение 2 часов с момента водной нагрузки. В 8.00 берется кровь из вены в количестве 3-5 мл. В пробах крови и мочи определяют концентрации креатинина и на основе этих значений рассчитывают скорость клубочковой фильтрации.
7. Клинический анализ крови проводится для выявления инфекционной интоксикации и определения ее степени.
8. Биохимический анализ крови. Это исследование (определение в сыворотке крови концентрации креатинина, мочевины, калия, натрия, общего белка) предназначено для выявления почечной недостаточности и определения ее степени.

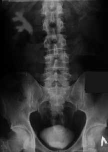
9. Внутривенная экскреторная урография. Для диагностики пиелонефрита большое значение имеет рентгеновское исследование мочевыводящих путей с применением контрастного вещества. Показаниями к проведению внутривенной урографии являются первая инфекция мочевых путей у мужчин и повторные инфекции у женщин, постоянная микро- и макрогематурия, лихорадка. В ходе урографии определяют строение мочевыводящих путей и врожденные аномалии их развития, устанавливают возможную причину пиелонефрита (например, может иметь место закупорка мочеточника или лоханки камнем). Контрастная рентгенография мочевыводящих путей позволяет узнать давность существования болезни, ее стадию, степень нарушения уродинамики. За 12-24 часа до исследования проводят пробу на чувствительность к контрастному веществу. Если появились кожный зуд, аллергический насморк, слезотечение, головная боль, тошнота или рвота, введение контраста противопоказано. Тогда в целях диагностики проводят ультразвуковое исследование. В день исследования делают очистительную клизму и дают активированный уголь. Эти мероприятия необходимы для освобождения кишечника от каловых масс и газа, снижающих качество снимков. По этой же причине до исследования не рекомендуется есть. В рентгеновском кабинете вводят контрастное вещество и через определенные промежутки времени делают снимки почек и нижних мочевых путей.
10. Ультразвуковое исследование мочевыводящих путей и почек. Данное исследование проводится всем больным с подозрением на инфекцию мочевыводящих путей, а также пациентам, имеющим противопоказания к контрастному исследованию (почечную недостаточность, аллергию на контраст). Исследование выполняют натощак после предварительного опорожнения кишечника и приема активированного угля, при наполненном мочевом пузыре. Ультразвуковое исследование способствует диагностике воспалительного процесса в почке, в том числе гнойных очагов, камней.
11. Реносцинтиграфия — радиоизотопное исследование почек — выявляет асимметричное нарушение функции почек, свойственное пиелонефриту, оценивает скорость накопления и выведения определеного вещества почками. Подготовка к исследованию схожа с подготовкой к внутривенной урографии.

12. Диагностика острого и хронического цистита базируется на типичных проявлениях болезни, результата общего анализа мочи, бактериологического посева мочи. Цистоскопия (осмотр полости мочевого пузыря с помощью гибкого эндоскопа) позволяет выявить хронический цистит и определить его вариант. В некоторых случаях в ходе цистоскопии делают биопсию слизистой оболочки мочевого пузыря (биопсия — прижизненное извлечение микроскопического участка ткани органа для изучения ее под микроскопом).
Комментарии
Комментариев пока нет